Before & After
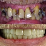
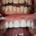
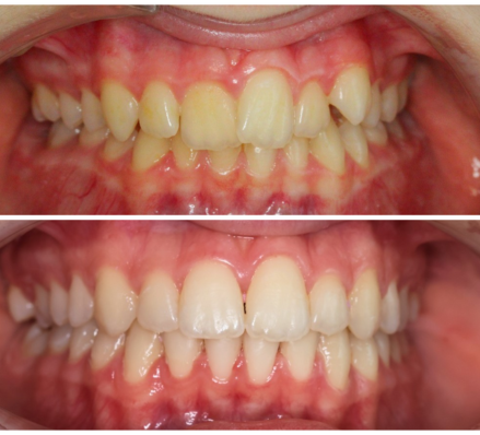
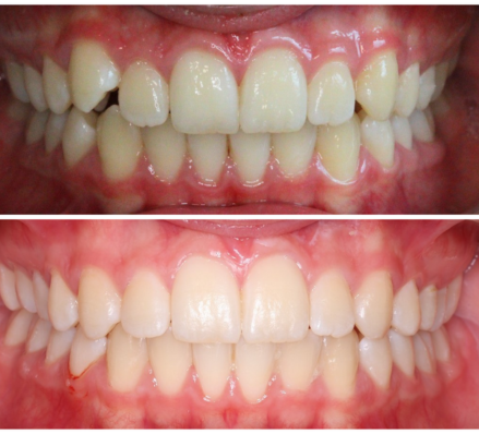
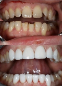
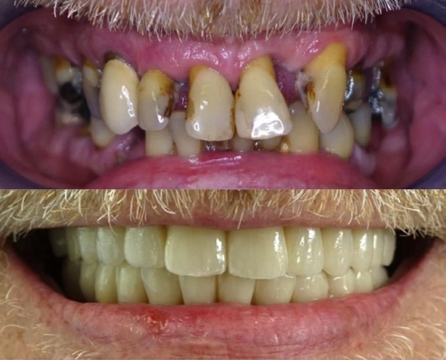
Dental veneers provide one of the most modern and gentle ways to transform a smile. These thin, precisely crafted ceramic layers are delicately bonded to the front surface of the teeth, effectively eliminating aesthetic concerns such as discoloration, shape irregularities, or minor damage. During the application of veneers, the color, shape, and proportions of the teeth can be harmonized, resulting in a smile that appears renewed and visually enhanced. The final result is fresh, radiant, and completely lifelike, offering a natural appearance while preserving its beauty over the long term with minimal loss of natural tooth structure.
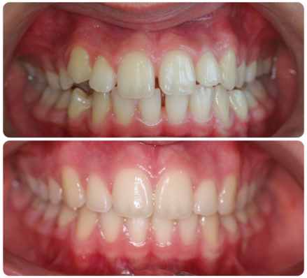
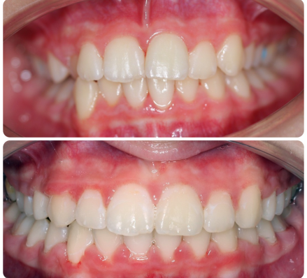
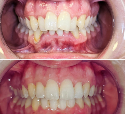
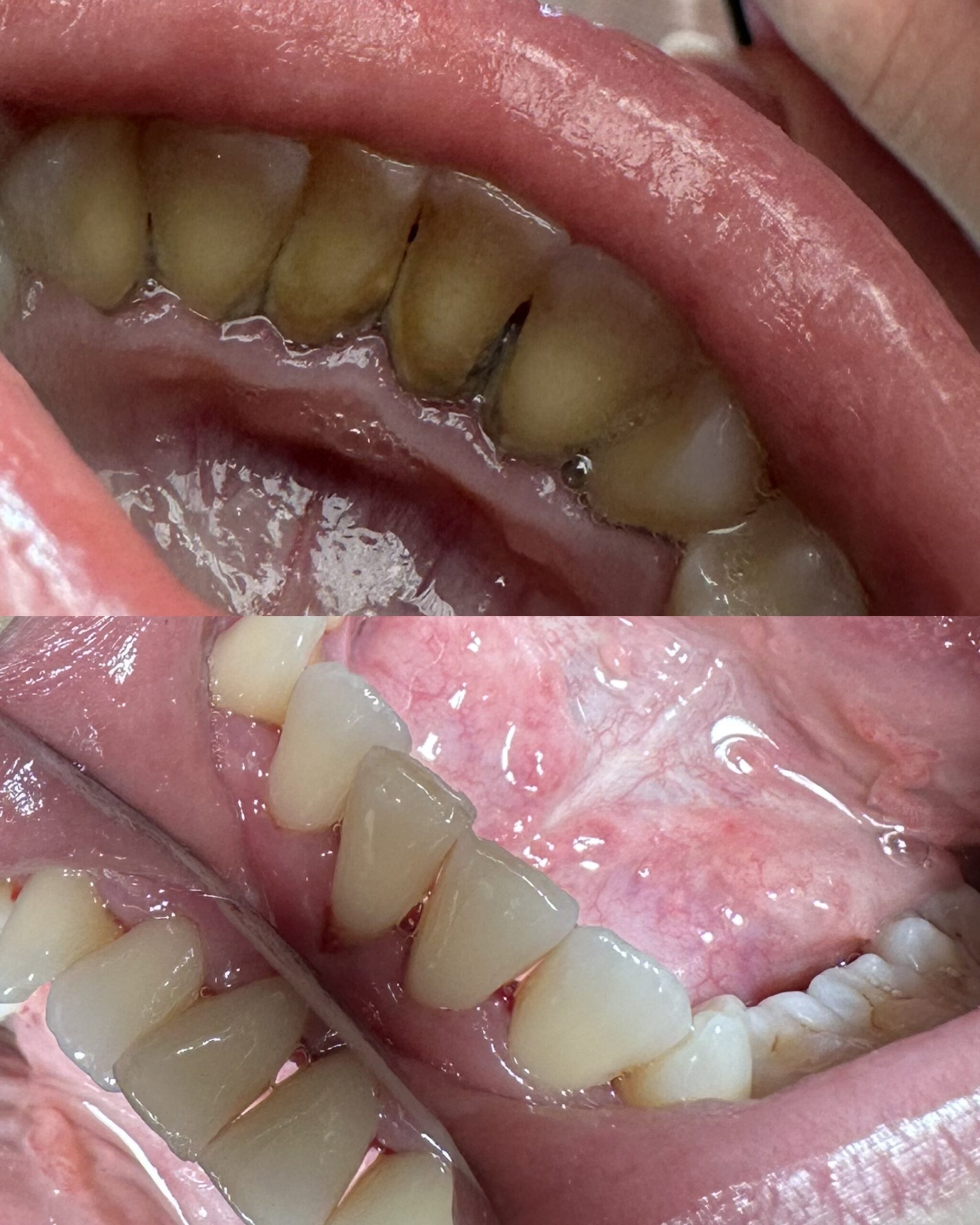
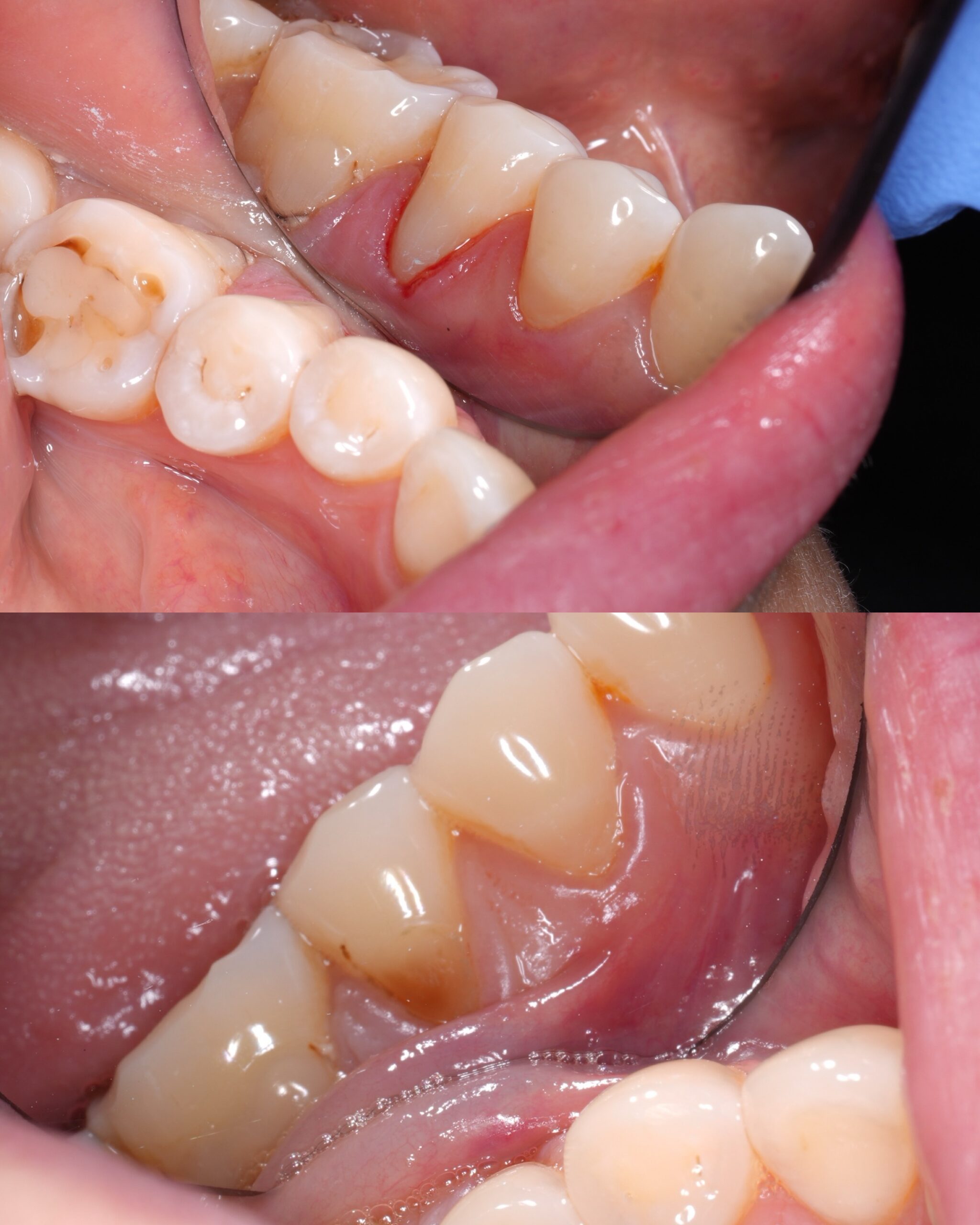
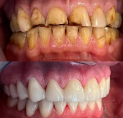
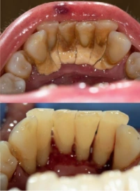
Professional dental cleaning is a simple yet very important step in maintaining the health of the teeth and gums. Despite daily toothbrushing and flossing, tartar can develop over time in everyone, which is not only an aesthetic issue but can also cause inflammation and gum bleeding. During the treatment, deposits are carefully removed using special instruments, and the tooth surfaces are then polished to become smooth and clean. As a result, the smile becomes not only cleaner and more attractive, but the procedure also helps protect the long-term health of the teeth and gums.
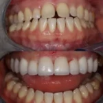
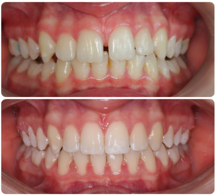
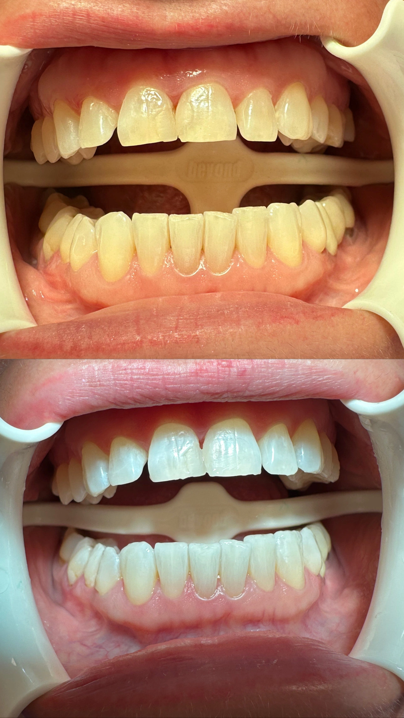
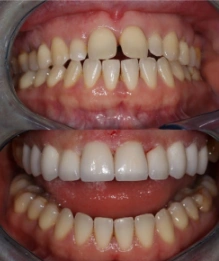
Teeth whitening is a quick and effective way to achieve a fresher, brighter smile. Over the years, tooth color can naturally darken, especially due to coffee, tea, red wine, or smoking. During the treatment, the enamel is lightened using safe, professional materials while protecting the health of the teeth and gums. The results are clearly visible even after a single session and can be maintained for a long time with proper care.
The goal of root canal treatment is to save the tooth when the dental pulp becomes inflamed or infected. During the procedure, the inflamed tissue is removed, the root canals are thoroughly cleaned, and then filled with a special material to ensure the tooth remains healthy in the long term. Many patients are pleasantly surprised by how gentle and pain-free this treatment can be, with the result being the preservation of their natural tooth for many years to come.
Warning! The following page contains images of surgical procedures (implant placement, bone grafting) that may be disturbing for sensitive viewers.


















































